Experience Relief From Mouth Sores
A wide range of medical professionals and their patients benefit from Benova Mouth Rinse System. Oncologists, oncology nurses, dentists, periodontists, and many other groups of professionals use Benova to give their patients instant relief from mouth sores caused by various conditions.
The Benova Mouth Rinse System removes yeast and bacteria in seconds, then reduces or stops inflammation within minutes to aid healing of mouth sores.
- No prescription needed
- No numbing lidocaine
- Patented biotechnology US 11,806,420
- Made with natural ingredients that are gentle and effective
- Passes NAMSA tests for oral toxicity, topical sensitization, and oral mucosal irritation
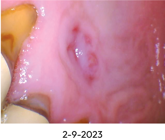
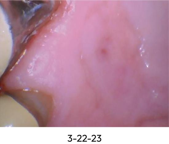
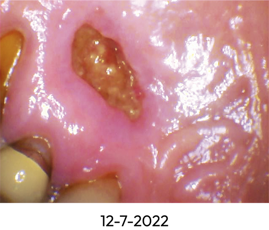
Healing Progression of Oral Lesion with Benova® Mouth Rinse System
Patient PB with diabetes, age 70.
- Patient had painful lesion for several months with no healing.
- Reported pain resolved almost immediately upon using Benova® Mouth Rinse System.
The Benova Mouth Rinse System
The two-step Benova system includes Step 1 and Step 2 in two 4-oz or two 16-oz bottles.
-
The sodium chlorite solution gently removes 99% of bacteria and yeast in 45 seconds, breaking down organic matter into sodium chloride (table salt) and water. Effective against a broad range of bacteria and yeast including S. mutans, E. coli, and C. albicans. Gently cleanses oral wounds and sores, providing a healthy oral environment.
-
Licorice root and the enzyme bromelain immediately reduce inflammation and soreness from mouth sores, reducing and managing pain. Xylitol continues killing S. mutans while being gentle on sensitive mouth tissue.
Independently Tested for Safety & Effectiveness
Our product has been tested by NAMSA, the primary source of testing for medical device products. NAMSA testing showed both Step 1 and Step 2 passed for oral toxicity, sensitization, and oral mucosal irritation.
-
Oral Mucosal Irritation Study View Report
Maximization Sensitization Test View Report
Modified Oral Toxicity Study View Report
-
Oral Mucosal Irritation Study View Report
Maximization Sensitization Test View Report
Modified Oral Toxicity Study View Report
- Choosing a selection results in a full page refresh.





